Kalp Konturu Ne Demek

Telekardiyografi Tele Doc Dr Evren Semizel Cocuk Kardiyoloji Uzmani

Telekardiyografi Tele Doc Dr Evren Semizel Cocuk Kardiyoloji Uzmani

Prof Dr Ahmet Akgul Kalp Hastaliklarinda Gogus Filmi X Ray

Prof Dr Ahmet Akgul Kalp Hastaliklarinda Gogus Filmi X Ray

Telekardiyografi Nedir Ne Ise Yarar

Telekardiyografi Nedir Ne Ise Yarar

Telekardiyografi Tele Doc Dr Evren Semizel Cocuk Kardiyoloji Uzmani

Telekardiyografi Tele Doc Dr Evren Semizel Cocuk Kardiyoloji Uzmani

Telekardiyografi Tele Doc Dr Evren Semizel Cocuk Kardiyoloji Uzmani

Telekardiyografi Tele Doc Dr Evren Semizel Cocuk Kardiyoloji Uzmani

Akciger Grafisi Degerlendirme Acil Calisanlari

Akciger Grafisi Degerlendirme Acil Calisanlari

Akciger Grafisi Degerlendirme Acil Calisanlari

Peki vücut konturu.

Kalp konturu ne demek. Bu filmlerin telekardiyografi olarak çekilmesi uygun olur. Makyaj kontürü bilirkişi makyaj artistlerinin yıllarca modellerde uyguladığı korunan makyaj tekniklerinden biriydi gelgelelim artık günümüzde pek çok kişi tarafından merak edilen ve uygulanan makyaj pratiklerinden biri olmaya devam ediyor. Saç konturu nedir nasıl uygulanır saç konturu saç boyası saç konturu nedir saç konturu trendi internet sitemizde çerezler kullanılmaktadır. Kalp sağliği beslenme.

Kalp hastalıklarının tanısında özel yeri olmamakla beraber kalp gölgesindeki büyümeler kalp hastalığından şüphelenmeyi gerektirir. Ombré tekniğinin en net uygulandığı yüz modelidir. O karartı arasında gri ile beyaz karısımı bir kese icinde minik embriyo henuz organları bile olusmamıs. Doktor size doner goruyor musunuz der.

Başka nedenlerle çekilen akciğer filmlerinde kalp gölgesinin büyük saptanmasının tanı değeri yoktur. Gorulen sey bebegin kalp kasıdır. En guzeli ultrasonda bebegin kalp atısını gormektir. Kalp atısıbu der doktor bebeginiz yasıyor.

25 03 2016 10 31 güncelleme. Diplerden uçlara doğru çeneden sonra tonun daha da yumuşadığı degradeli bir açma işlemi uygulanır.

Telekardiyografi Tele Doc Dr Evren Semizel Cocuk Kardiyoloji Uzmani

Telekardiyografi Tele Doc Dr Evren Semizel Cocuk Kardiyoloji Uzmani

Akciger Grafisi Degerlendirme Acil Calisanlari

Akciger Grafisi Degerlendirme Acil Calisanlari

Prof Dr Ahmet Akgul Kalp Hastaliklarinda Gogus Filmi X Ray

Prof Dr Ahmet Akgul Kalp Hastaliklarinda Gogus Filmi X Ray

Kalp Kapak Hastaliklari Fazlasi Icin Www Tipfakultesi Org

Kalp Kapak Hastaliklari Fazlasi Icin Www Tipfakultesi Org

Akciger Grafisi Degerlendirilmesi

Akciger Grafisi Degerlendirilmesi

Kalp Hastaliklarinda Radyografik Degerlendirme Ppt Video Online Indir

Kalp Hastaliklarinda Radyografik Degerlendirme Ppt Video Online Indir

Telekardiyografi Tele Doc Dr Evren Semizel Cocuk Kardiyoloji Uzmani

Telekardiyografi Tele Doc Dr Evren Semizel Cocuk Kardiyoloji Uzmani

Http Www Atuder Org Tr Fileout Aspx Url Ftegejecmfy9lsyzvork

Http Www Atuder Org Tr Fileout Aspx Url Ftegejecmfy9lsyzvork

Akciger Grafisi Degerlendirilmesi

Akciger Grafisi Degerlendirilmesi

Yuz Konturu Nasil Yapilir Guzellik Haberleri

Yuz Konturu Nasil Yapilir Guzellik Haberleri

Telekardiyografi Tele Doc Dr Evren Semizel Cocuk Kardiyoloji Uzmani

Telekardiyografi Tele Doc Dr Evren Semizel Cocuk Kardiyoloji Uzmani

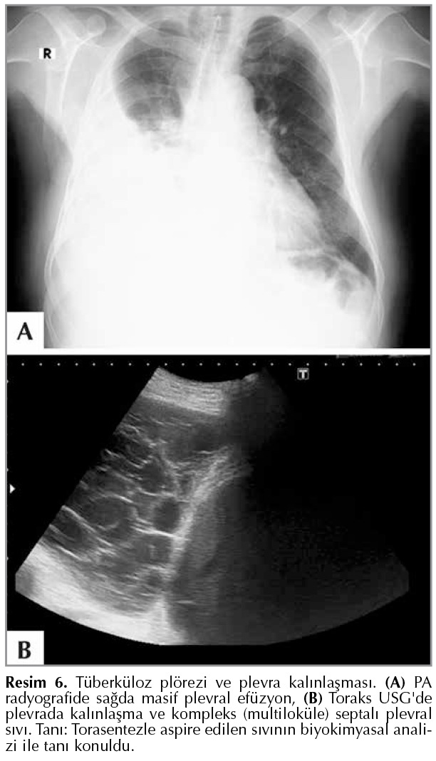
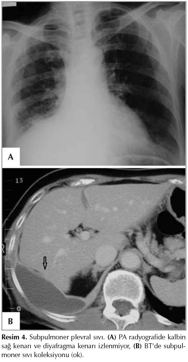
Tuberkuloz Ve Toraks Plevral Hastaliklarin Goruntulenmesi Akciger Grafisi Temelinde Goruntuleme Yontemlerinin Degerlendirilmesi

Tuberkuloz Ve Toraks Plevral Hastaliklarin Goruntulenmesi Akciger Grafisi Temelinde Goruntuleme Yontemlerinin Degerlendirilmesi

Tuberkuloz Ve Toraks Plevral Hastaliklarin Goruntulenmesi Akciger Grafisi Temelinde Goruntuleme Yontemlerinin Degerlendirilmesi

Tuberkuloz Ve Toraks Plevral Hastaliklarin Goruntulenmesi Akciger Grafisi Temelinde Goruntuleme Yontemlerinin Degerlendirilmesi

Http Www Atuder Org Tr Fileout Aspx Url Ftegejecmfy9lsyzvork

Http Www Atuder Org Tr Fileout Aspx Url Ftegejecmfy9lsyzvork

Cocuk Kalp Hastaliklarinda Tetkikler Prof Dr Sadi Turkay Cocuk Kalp Hastaliklari Uzmani Telefon 0 505 319 50 83

Cocuk Kalp Hastaliklarinda Tetkikler Prof Dr Sadi Turkay Cocuk Kalp Hastaliklari Uzmani Telefon 0 505 319 50 83

Kalp Hastaliklarinda Radyografik Degerlendirme Ppt Video Online Indir

Kalp Hastaliklarinda Radyografik Degerlendirme Ppt Video Online Indir

Kalp Kapak Hastaliklari Fazlasi Icin Www Tipfakultesi Org

Kalp Kapak Hastaliklari Fazlasi Icin Www Tipfakultesi Org

Diyafram Yukselmesi Nedir Diyafram Yukselmesinde Bunlara Dikkat Saglik Haberleri

Diyafram Yukselmesi Nedir Diyafram Yukselmesinde Bunlara Dikkat Saglik Haberleri

Tuberkuloz Ve Toraks Plevral Hastaliklarin Goruntulenmesi Akciger Grafisi Temelinde Goruntuleme Yontemlerinin Degerlendirilmesi

Tuberkuloz Ve Toraks Plevral Hastaliklarin Goruntulenmesi Akciger Grafisi Temelinde Goruntuleme Yontemlerinin Degerlendirilmesi

Kalp Hastaliklarinda Radyografik Degerlendirme Ppt Video Online Indir

Kalp Hastaliklarinda Radyografik Degerlendirme Ppt Video Online Indir

Kalp Krizi Nedir Nasil Meydana Gelir Prof Dr Tayfun Aybek

Kalp Krizi Nedir Nasil Meydana Gelir Prof Dr Tayfun Aybek

Tuberkuloz Ve Toraks Plevral Hastaliklarin Goruntulenmesi Akciger Grafisi Temelinde Goruntuleme Yontemlerinin Degerlendirilmesi

Tuberkuloz Ve Toraks Plevral Hastaliklarin Goruntulenmesi Akciger Grafisi Temelinde Goruntuleme Yontemlerinin Degerlendirilmesi

Cocuk Kalp Hastaliklarinda Tetkikler Prof Dr Sadi Turkay Cocuk Kalp Hastaliklari Uzmani Telefon 0 505 319 50 83

Cocuk Kalp Hastaliklarinda Tetkikler Prof Dr Sadi Turkay Cocuk Kalp Hastaliklari Uzmani Telefon 0 505 319 50 83

Kirik Ve Mutlu Kalp Sendromu Nedir Sarkac

Kirik Ve Mutlu Kalp Sendromu Nedir Sarkac

Akcigerde Nodul Ne Yapmali Gogus Cerrahisi Prof Dr Semih Halezeroglu

Akcigerde Nodul Ne Yapmali Gogus Cerrahisi Prof Dr Semih Halezeroglu

Kalici Makyaj Microblading Kas Konturu Islem Oncesi Ve Sonrasi Degisim Kas Instagram Makyaj

Kalici Makyaj Microblading Kas Konturu Islem Oncesi Ve Sonrasi Degisim Kas Instagram Makyaj

Kalp Kapak Hastaliklari Fazlasi Icin Www Tipfakultesi Org

Kalp Kapak Hastaliklari Fazlasi Icin Www Tipfakultesi Org

Source : pinterest.com